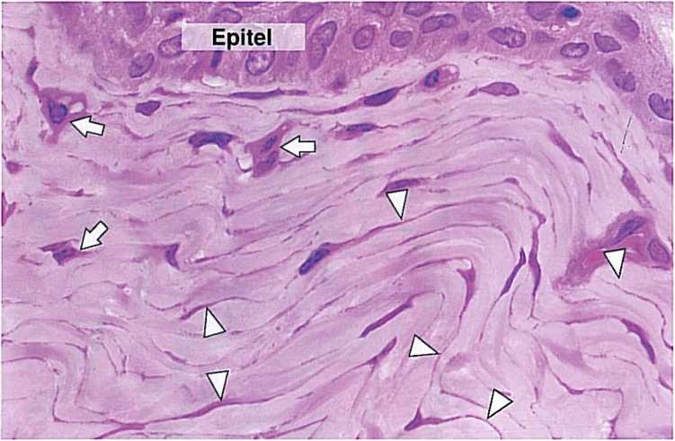
kolajen lifler

delphipages live

delphipages live

page 8 fen lisesi biyoloji 11 1 unite

page 8 fen lisesi biyoloji 11 1 unite

tipwiki blogspot com

tipwiki blogspot com

tipwiki blogspot com

tipwiki blogspot com

kolajen nedir cosvia collagen

kolajen nedir cosvia collagen

suda collagen bar

suda collagen bar

kolajen kolajen icecegi kollajen

kolajen kolajen icecegi kollajen

kollajen proteini ve kollajen

kollajen proteini ve kollajen

matriks bag doku biyokimyasi

matriks bag doku biyokimyasi

kollajen nedir ne ise yarar neden

kollajen nedir ne ise yarar neden

ba dokusu siniflandirilmasi prof dr

ba dokusu siniflandirilmasi prof dr

bag dokusu

bag dokusu

connective tissue bag doku flashcards

connective tissue bag doku flashcards

tipwiki blogspot com

tipwiki blogspot com

kolajen liflerinin onarimi bir tur

kolajen liflerinin onarimi bir tur

bag ve destek doku konu anlatimi

bag ve destek doku konu anlatimi

kolajen nedir kolajen barindiran

kolajen nedir kolajen barindiran

nutracell demir kolajen lkarnitin

nutracell demir kolajen lkarnitin

kollajen lifleri bilgim

kollajen lifleri bilgim

tipwiki blogspot com

tipwiki blogspot com

kolajen eksikliginin 8 belirtisi ve

kolajen eksikliginin 8 belirtisi ve

kollajen i

kollajen i

nerede bulunur kolajen

nerede bulunur kolajen

intersitisyum nedir yeni organ

intersitisyum nedir yeni organ

kolajen nedir vucudumuzda nerelerde

kolajen nedir vucudumuzda nerelerde

cildin anatomik yapisi dr nuket eroglu

cildin anatomik yapisi dr nuket eroglu

nutracell kolajen l karnitin demir selenyum cinko lif vitaminli mineralli gazsi

nutracell kolajen l karnitin demir selenyum cinko lif vitaminli mineralli gazsi

elastik fibril vikipedi

elastik fibril vikipedi

kollajen i

kollajen i

bag doku

bag doku

You May Like
stats counter